UX UI

Brainpacemaker, sonde stimuleert hersenen

Brainpacemaker, sonde stimuleert hersenen

BESTE STRATEGIE

Systeem visualiseren

Vormgeving van informatie

OPDRACHTGEVER

Deep Brain Stimulation

 

High Tech Campus

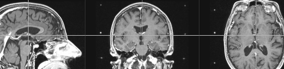
Patiënten met een ernstige vorm van Parkinson kunnen baat hebben bij diepe hersenstimulatie. Daarbij leggen elektrische pulsen uitgezonden door elektrodes diep in de hersenen bepaalde gebieden stil.

 

Sapiens Steering Brain Stimulation geeft patiënten kwaliteit van leven terug. Bijdrage Zuidzeven: interface aansturing en uitlezing voor een nieuw hersenstimulatie-systeem. Bij de behandelmethode worden elektrodes in het hersenweefsel geplaatst om met constante frequentie kleine stroompulsjes af te geven. De methode wordt momenteel ingezet om de symptomen van een reeks aandoeningen tegen te gaan waar onder Parkinson, epilepsie, motorische aandoeningen, (chronische) depressie en ernstige dwangstoornissen.

 

Sapiens’ huidige prototype is een probe van ongeveer een centimeter lang. Hierop zijn rondom 64 elektrodes aangebracht, elk van slechts enkele honderden micrometer. Dit grote aantal van kleine elektrodes maakt het mogelijk om met veel hogere resolutie te stimuleren alleen daar waar dat nodig is.

 

De beeldanalysesoftware met MRI-beelden helpt om te bepalen hoe de probe tussen kritieke hersenstructuren door precies in het doelgebied kan worden gestoken. De software helpt om de metingen tijdens operaties te interpreteren. Tot slot is er het afstellen van de pulsgenerator, doordat de Sapiens-probe ook kan meten, kan die straks met de 64 elektrodes de stimulatie gericht sturen. Het systeem visualiseert het doelgebied en de ladingswolk.

 

Gaandeweg de ontwikkeling van haar software based producten is Sapiens steeds verdergaand tot de conclusie gekomen dat usability engineering een werkelijk essentieel onderdeel vormt van medical device development.

©  Zuidzeven – All Rights Reserved